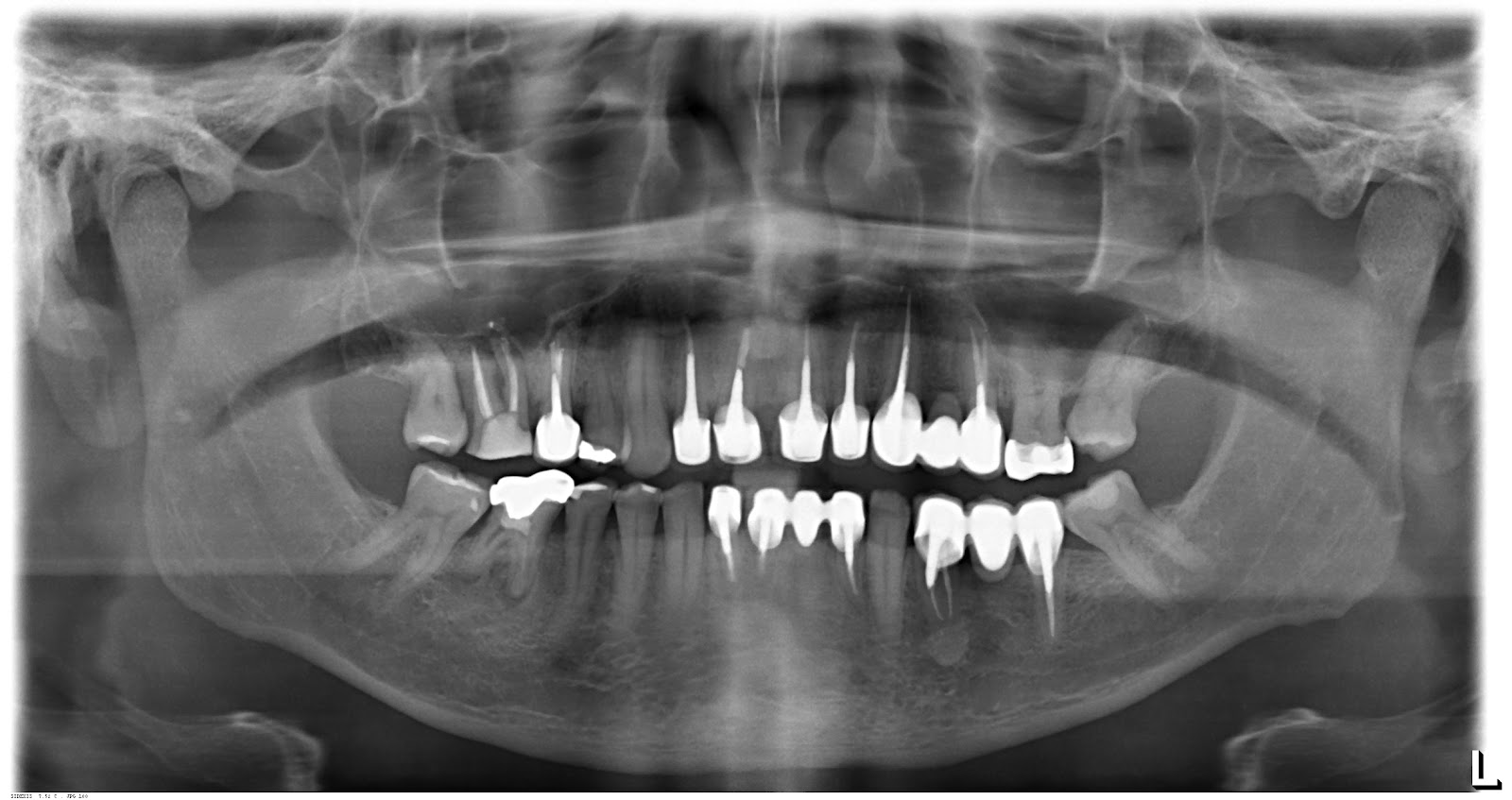
Entendendo a Radiografia Panorâmica. Diferente do raio-x convencional, que foca em áreas específicas e isoladas, a radiografia panorâmica abrange uma visão completa da região facial. "Este exame gera uma imagem tomográfica de alta precisão, englobando arcada dentária, maxilar e mandíbula, facilitando imensamente a análise e o.. Radiografia panorâmica uma das técnicas radiográficas mais solicitadas e difundidas em todas as especialidades da Odontologia. Ela se trata de um raio-x sobre o complexo maxilo-mandibular. Esse tipo de radiografia possibilita ao cirurgião-dentista a visualização dos elementos dentais, mesmo os que ainda não estão erupcionados, bem como.

Radiografía Panorámica Dental (ortopantomografía) Radiología Dental Las Palmas

A importância da radiografia panorâmica na odontologia Radiológika

O que é uma radiografia panorâmica dentária? Antalya Dent Smile

Coroa Dentária O que é, como funciona e cuidados MaisOdonto

Radiografía Panorámica Clínica Drs. de Benito

radiografia panorâmica dentária qualidade e preço justo

Anatomia Radiográfica Panorâmica Radiologia Odontológica

Anatomia em radiografia panorâmica YouTube

Dra. Dentinhos ♡ on Instagram “💀 PANORÂMICA ☠️ ⠀ ⠀ ⠀ ⠀ 📷 odontoacademy panoramica

La panoramica dentale cosa c'è da sapere

O Que é Oclusão Dentária
![O que é raio x panorâmico? Como é feito? [tudo sobre o exame] O que é raio x panorâmico? Como é feito? [tudo sobre o exame]](https://eigierdiagnosticos.com.br/blog/wp-content/uploads/2020/01/x-ray-961977_1920.jpg)
O que é raio x panorâmico? Como é feito? [tudo sobre o exame]

Panoramica Dentale

Radiografias Panorâmicas Definições e indicações Papaiz

Image Gallery radiografia panoramica

Por Dentro do Dente Radiografia Panorâmica

Tudo sobre Radiografia Panorâmica O que é, preços e mais MaisOdonto

Anatomia Radiográfica e Tomográfica aplicada à Odontologia Parte II Mandíbula XXVII Papaiz

O que é prótese dentária, sua função e principais tipos?

Panorámica dental Clinica Dental Sonrisa Segura
A radiografia panorâmica dental é um exame muito comum na odontologia, fazendo com que o dentista tenha uma visão total e detalhada da estrutura oral de um paciente. Esta técnica melhorou o diagnóstico e o plano de tratamentos dentários, fazendo com que os profissionais realizem uma análise precisa de toda a região oral em uma imagem.. O que é radiografia panorâmica? A radiografia ou raio X é um exame que usa radiação em baixa quantidade para obter imagens internas do corpo. Ela foi desenvolvida no ano de 1895, pelo alemão Wilhelm Conrad Röntgen. Esse exame é utilizado para identificar possíveis fraturas e tumores no corpo.